
Welkom bij Marinus Ouwerkerk Mondheelkunde
Mijn naam is Marinus Ouwerkerk. Ik ben werkzaam als zelfstandig tandarts–implantoloog met expertise in orale implantologie, endodontologie, restauratieve tandheelkunde en algemene tandheelkunde. Met uiterste precisie en oog voor detail en esthetiek voer ik behandelingen uit op het hoogste niveau. Door het toepassen van de nieuwste technieken en digitale innovaties ben ik in staat om ook complexe gebitsproblemen effectief op te lossen. Het resultaat is een gezond, functioneel en esthetisch gebit.

Dankzij mijn ervaring in orale chirurgie, implantologie en prothetiek kan ik verloren gebitselementen op een functionele en esthetische wijze vervangen. Daarbij voer ik het volledige implantologie traject vanaf het begin tot het einde zelf uit. Het aanvullend reconstrueren van botdefecten en zachte weefsels behoort tot de mogelijkheden.

Door gebruik te maken van de meest moderne behandeltechnieken ben ik in staat om op topniveau een gebitsrehabilitatie te realiseren. Daarbij werk ik nauw samen met hoogwaardige tandtechnische laboratoria om tot een duurzaam en esthetisch resultaat te komen. De patiënt staat hierbij altijd centraal. Gezamenlijk herstellen we de kauwfunctie en de esthetiek zo optimaal mogelijk.


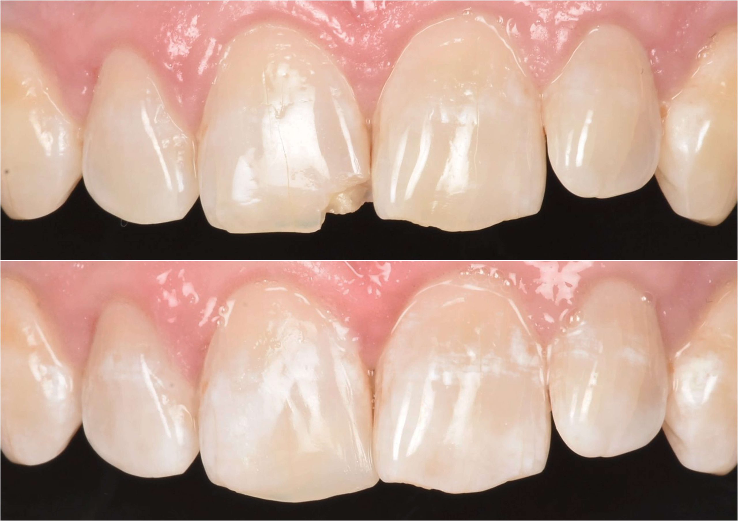
Door gebruik te maken van minimaal invasieve technieken kunnen gebitsproblemen vaak op een laagdrempelige manier worden behandeld. Dit resulteert in een esthetisch en duurzaam eindresultaat, waarbij de wensen van de patiënt leidend zijn.



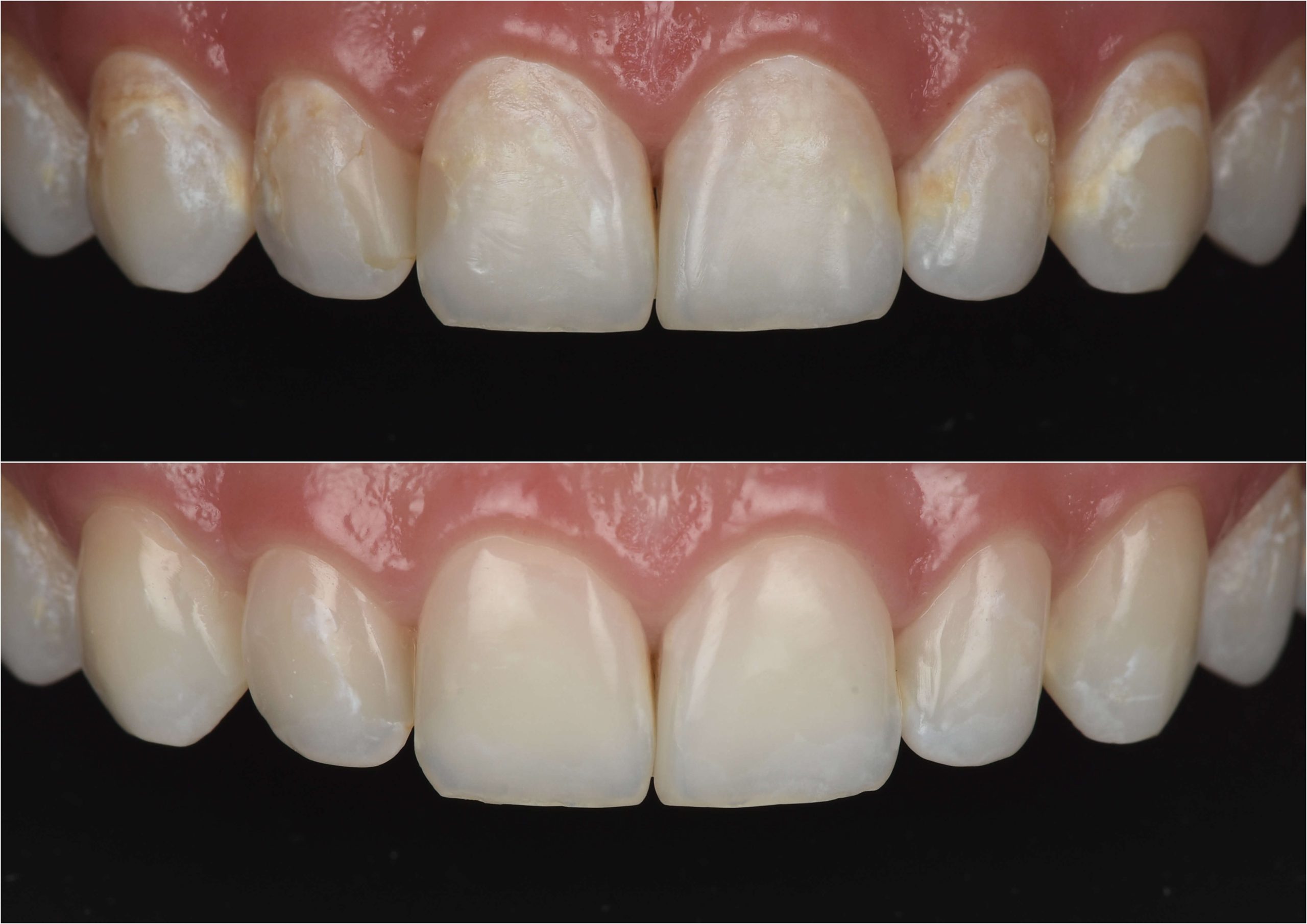
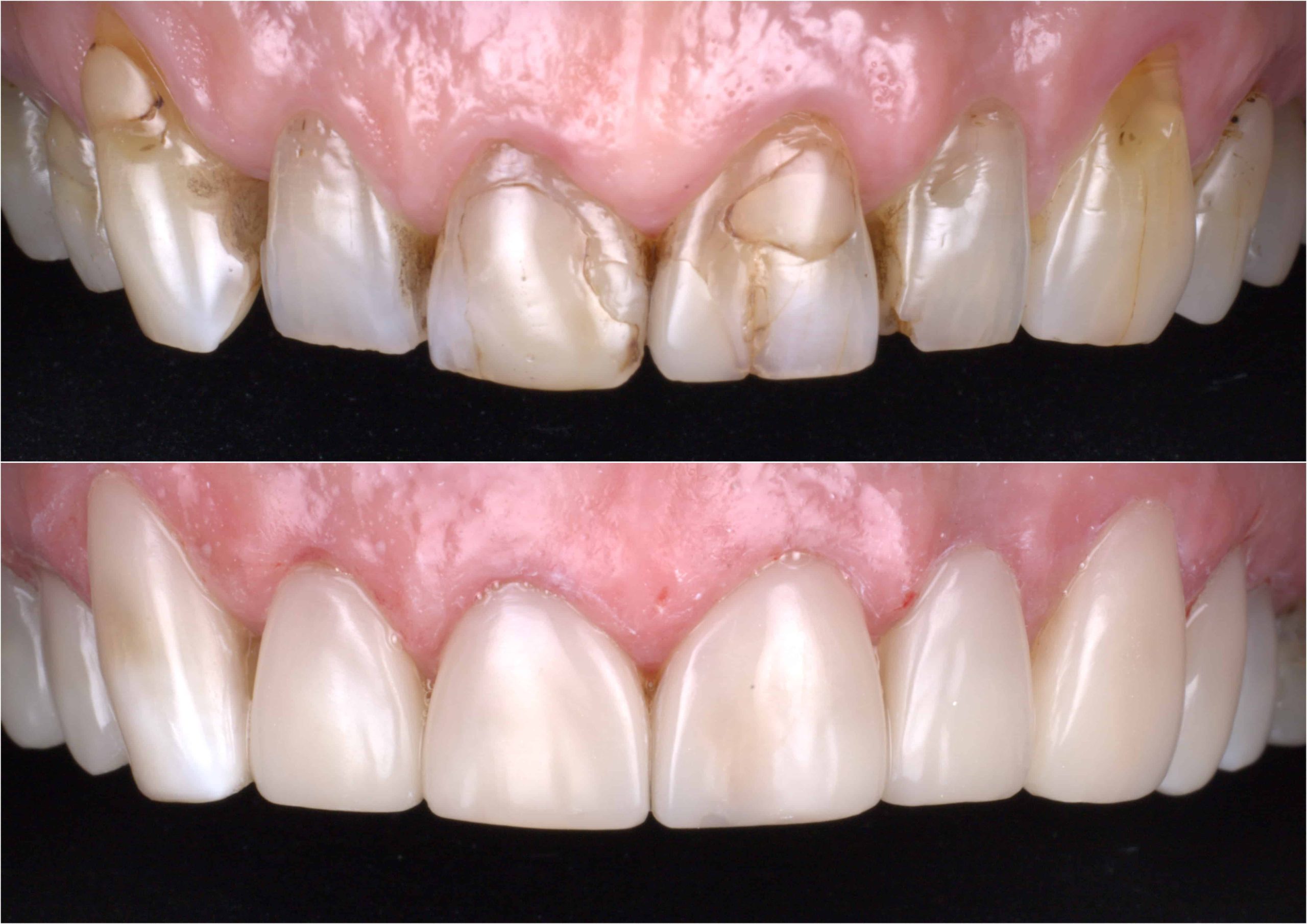
Ook binnen de dagelijkse algemene tandheelkunde vormen functie en esthetiek de basis van mijn werk. Zelfs de kleinste restauraties en vullingen worden met grote zorg en precisie vervaardigd, met als doel het kauwvermogen en de esthetiek optimaal te herstellen.
Voortdurende professionele ontwikkeling is voor mij essentieel. Daarom volg ik regelmatig cursussen, trainingen en aanvullende opleidingen en blijf ik actief op de hoogte van de meest recente wetenschappelijke onderzoeken en publicaties. Daarnaast heb ik bijgedragen aan enkele onderzoeken en publicaties, een activiteit die ik in de toekomst graag blijf voortzetten.
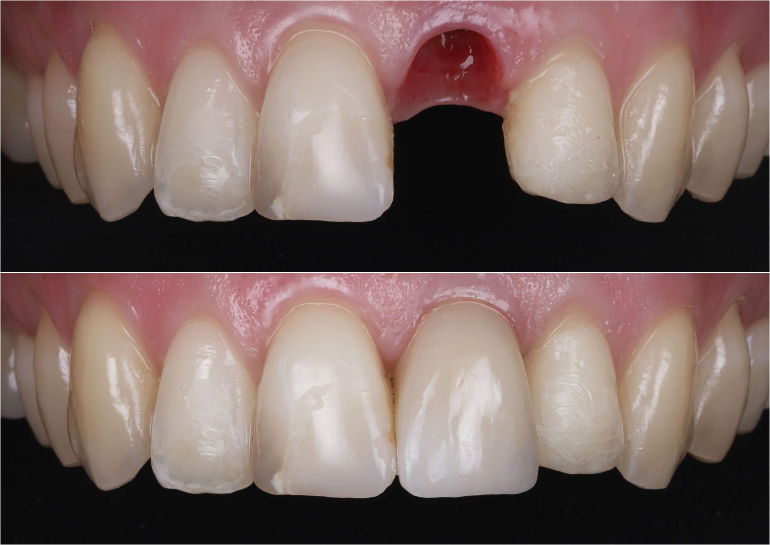
A 32-month evaluation of lithium disilicate cantilever resin-bonded fixed dental
prostheses to replace a missing maxillary incisor
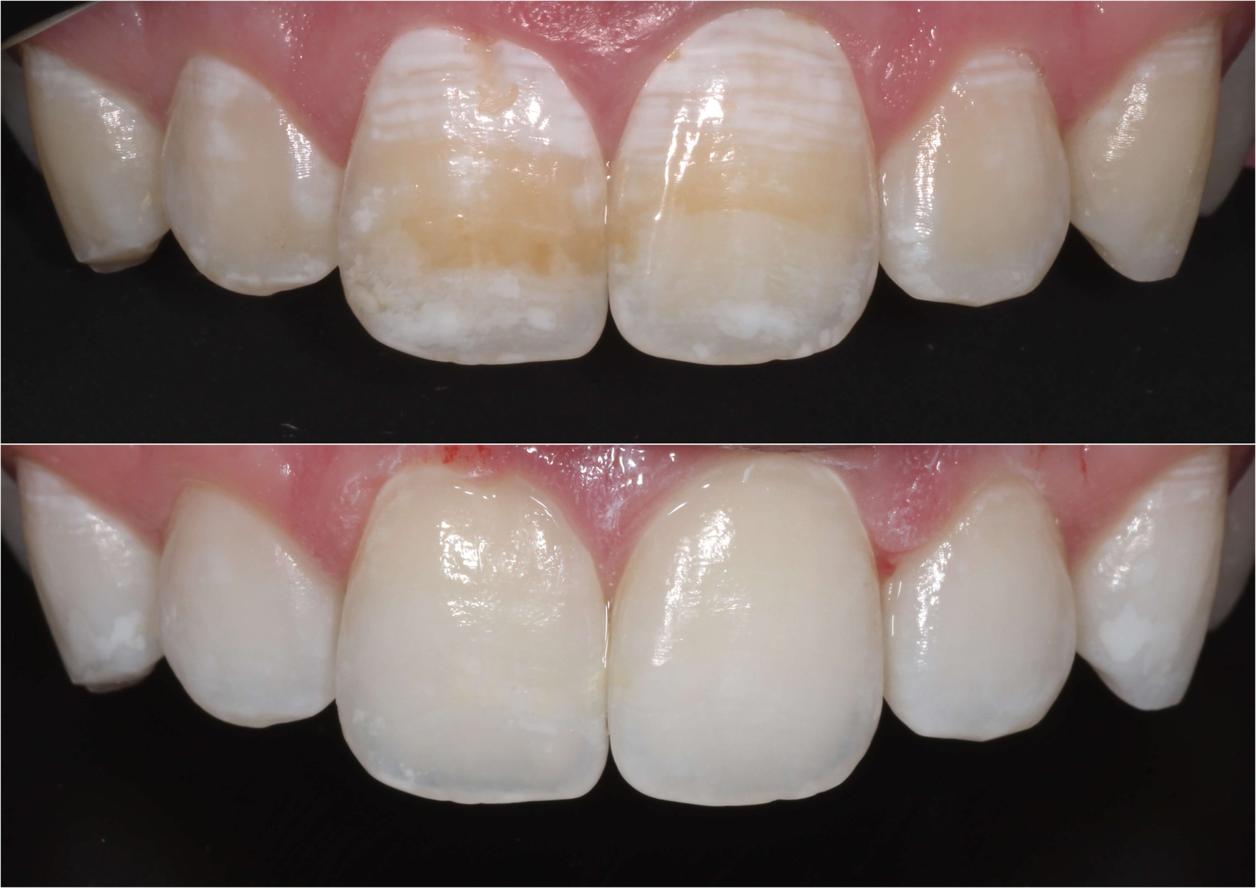
Polijsten van frontcomposieten met verschillende polijstmethoden
Het Nederlandse Tandartsenblad
Tandheelkundig Centrum Vitalis
Tandarts
Dental Care Utrecht
Tandarts-implantoloog
Tandartsenpraktijk De Nieuwegracht
Tandarts
Tandartsenpraktijk Beekmans
Tandarts
Tandartspraktijk Lawant
Tandarts
Tandartsenpraktijk M Heij
Tandarts
Als tandarts ben ik aangesloten bij:
Koninklijke Nederlandse Maatschappij tot bevordering der Tandheelkunde
Dutch Academy of Esthetic Dentistry
Nederlandse Vereniging voor Orale Implantologie
Nederlands Vlaamse Vereniging voor Restauratieve Tandheelkunde
Kwaliteitsregister tandartsen
Voor opdrachten, vragen of nadere toelichting op mijn werkwijze, nodig ik u van harte uit om contact met mij op te nemen via het onderstaande contactformulier.
Let op: dit formulier is uitsluitend bedoeld voor collega’s en opdrachtgevers. Patiënten kunnen contact opnemen via de receptie van de praktijk.

